Health

10 children di£ following Diphtheria outbreak in Niger

Spread the love

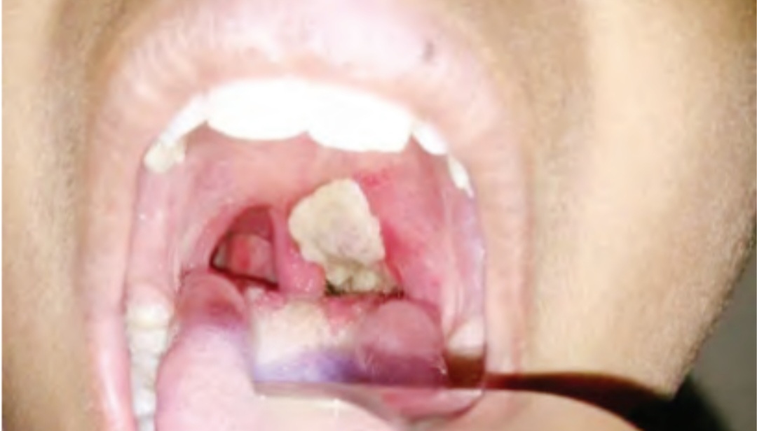
Ten children have di£d following an outbreak of diphtheria in Agaie and Bida local government areas of Niger State.

The affected children were admitted to the Federal Medical Centre (FMC) Bida, where they later passed away.

More diphtheria-related de@ths have also been reported in some communities within the two local government areas since the outbreak began.

Locals have pleaded with the state government to provide drugs to general hospitals in the area to curb the spread of the disease to other areas.

The Permanent Secretary in the Ministry of Tertiary Health Care, Dr. Mohammed Gana, confirmed the outbreak.

He explained that the state government, in collaboration with health partners, is working to contain the situation and provide necessary medication.

Fidel Perez

Recent Posts

David Raya secures third consecutive Premier League Golden Glove

Arsenal goalkeeper David Raya has officially secured the Premier League Golden Glove award for the…

2 days ago

Police f@tally shoot son accused of stabbing disabled mom on Mother’s Day

Police f@tally shot a man who viciously stabbed his disabled mother yesterday, May 10, at…

2 days ago

Gunmen shoot man d£@d in his vehicle outside UNIBEN main gate (video)

A young man was f@tally shot by gunmen outside the main gate of the University…

2 days ago

6 people found de@d inside Texas railroad boxcar

Six bodies were mysteriously discovered inside a train boxcar in Laredo, Texas, on Sunday, May…

2 days ago

You people can do better – Actress, Sarah Martins chides AMVCA organizers for not giving Yul Edochie an award

Actress Sarah Martins has caused a stir on social media by slamming the organizers of…

2 days ago

Footage captures horrific moment man fatally pushes retired elderly teacher, 76, down NYC subway stairs

Disturbing footage captures the horrific moment a man pushed a beloved 76-year-old former teacher down…

2 days ago

This website uses cookies.